Descripción:
Varón de 52 años de edad.
Consulta por Síndrome de fosa ilíaca derecha.
Se sospecha Apendicitis.
Se realiza Apendicectomía.
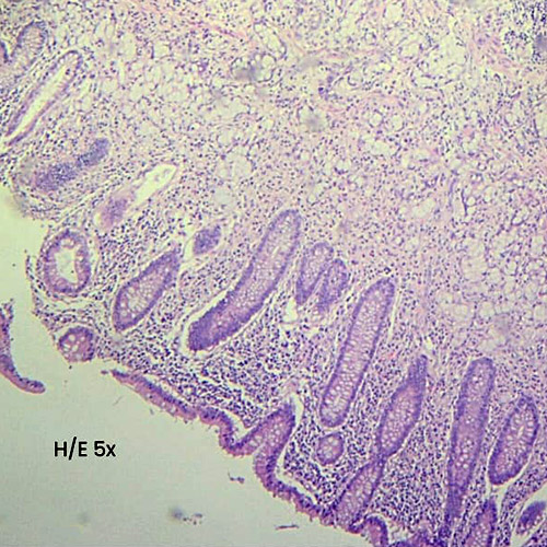
Imágenes Microscopio

Posibles diagnósticos
A- Adenocarcinoma mucinoso.
B- Adenocarcinoma de células en anillo de sello.
C- Adenocarcinoma de células caliciformes.
D- Hiperplasia de células caliciformes.
Durante el mes de Agosto se debía responder cual sería el diagnóstico correcto de este caso en la publicación de Instagram (@sapycc) y así participar del sorteo de una inscripción a las Jornadas de Noviembre entre quienes acertaron.
El sorteo de la inscripción a las Jornadas de noviembre entre quienes acertaron se realizará en la próxima reunión presencial de la Sociedad.
Resolución del Caso
Respuesta Correcta: Adenocarcinoma de células caliciformes.
Neoplasia que contiene células mucinosas calciformes con un número variable de células endocrinas y células tipo Paneth, generalmente dispuestas a una arquitectura tubular.
Con mayor frecuencia afecta el apéndice cecal.
- Hace metástasis en el peritoneo, el epiplón, la pared abdominal y los ovarios.
- Microscópicamente muestra infiltración de la pared apendicular por pequeños túbulos, nidos, grupos o cordones de células tumorales con morfología de células calciformes (núcleos pequeños y comprimidos con mucina intracitoplasmática).
- Se clasifica en bajo y en alto grado.
- El diagnóstico y la clasificación se basan en la morfología; no se requieren tinciones inmunohistoquímicas para el diagnóstico y no se requiere el ki67 para la clasificación.
