Descripción:
Paciente masculino de 23 años de edad, oriundo de Santiago del Estero, con diagnóstico reciente de VIH (CV: 55.800 copias/ml; cd4 128 cel./micro litro).
M. C.: Astenia, cefalea, palpitaciones, y disnea asociado a síndrome anémico con Hb 3,6g/dl.
Presentaba anemia normocítica, normocromica, arregenerativa (reticulocitos de 0,1%), con un perfil férrico de sobrecarga relacionado a múltiples transfusiones. Ácido fólico, vitamina B12, recuento de leucocitos y plaquetas dentro de valores normales.
Se realizaron múltiples estudios con resultados no concluyentes (hemocultivos, inmunodifusion para micosis sistémicas, serologías virales (CMV y VEB), carga viral para CMV y perfil autoinmune, VEDA, colonoscopia, TAC de tórax, abdomen y pelvis y serología para PVB19 (IgM e IgG).
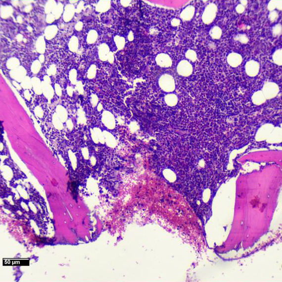
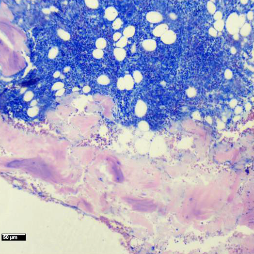
Se realiza punción de médula ósea.

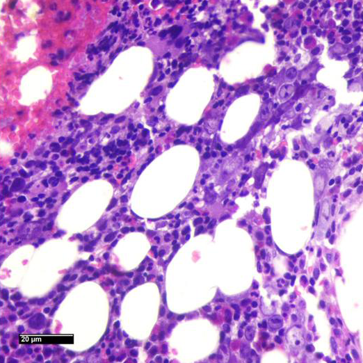
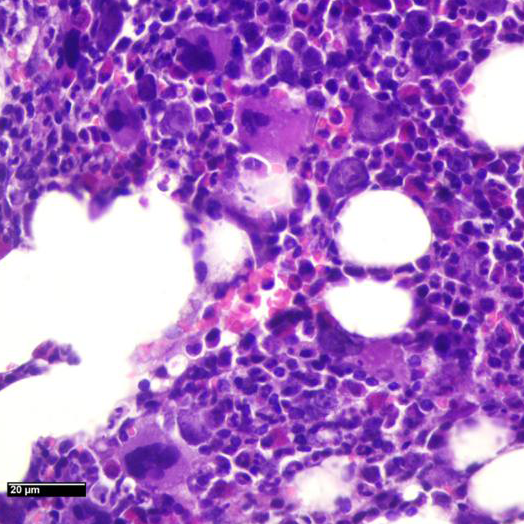
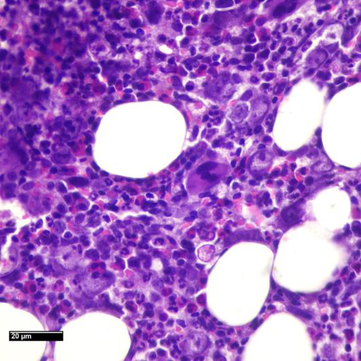
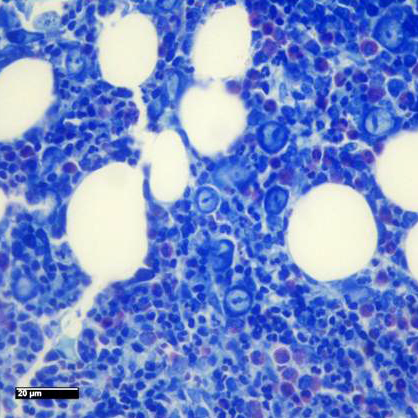
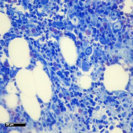
Imágenes Microscopio
¿Cuales son las posibilidades diagnosticas con estos hallazgos y que estudios sugiere realizar?
A- Compromiso de médula ósea por un linfoma hodgkin, sugiero cd30 y cd15.
B- Infiltración leucémica, solicito cd34 y cd117.
C- Cambios citopáticos atribuibles a agente etiológico viral. Sugiero inmunohistoquímica y/o estudio más específico.
D- Presencia de estructuras esféricas con endosporas. Realizar Pas y Grocot.
RESOLUCIÓN DEL CASO
Se realiza PCR para PVB19 que resulta positiva.
En nuestro medio no hay disponibilidad para estudiar dicho agente por inmunohistoquímica.
Se inicia tratamiento con terapia antirretroviral e inmunoglobulina humana intravenosa. El paciente mejora niveles de hemoglobina a 14 g/dl a los 30 días post alta.
Inmunohistoquímica
Histoquímica: Giemsa
DIAGNÓSTICO
MÉDULA ÓSEA HIPERCELULAR CON CAMBIOS CITOPÁTICOS COMPATIBLES CON INFECCIÓN POR PARVOVIRUS
• La infección por PVB19 es una causa infrecuente de Anemia, pero debe considerarse en el abordaje diagnóstico del síndrome anémico severo y refractario en pacientes con HIV.
• En la inmunosupresión severa las serologías pueden ser negativas.
• La morfología típica muestra una médula ósea hipocelular, no como en este caso; pero las características citológicas de los eritroblastos, resaltadas en la coloración de Giemsa, que muestran macrocariosis e inclusiones nucleares; apoyadas por los hallazgos de la PCR confirman el diagnóstico.










