Descripción:
Mujer de 43 años consultó por dolores óseos severos que limitaban la deambulación, se movilizaba en silla de ruedas y utilizaba “Corset” por el intenso dolor.
Al examen físico se detectó un nódulo de 2 cm superficial y móvil en región subcostal izquierda.

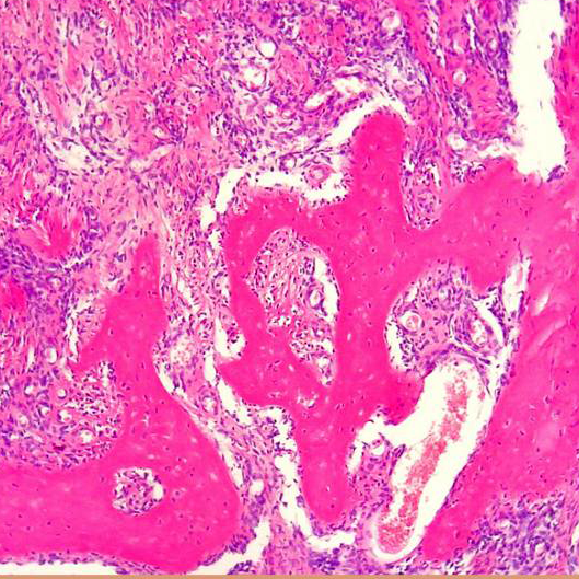
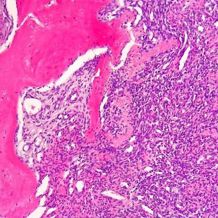
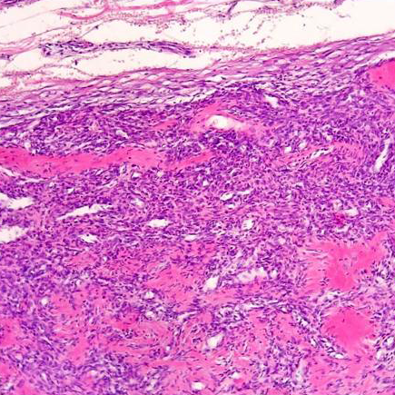
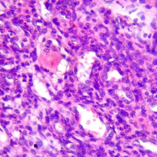
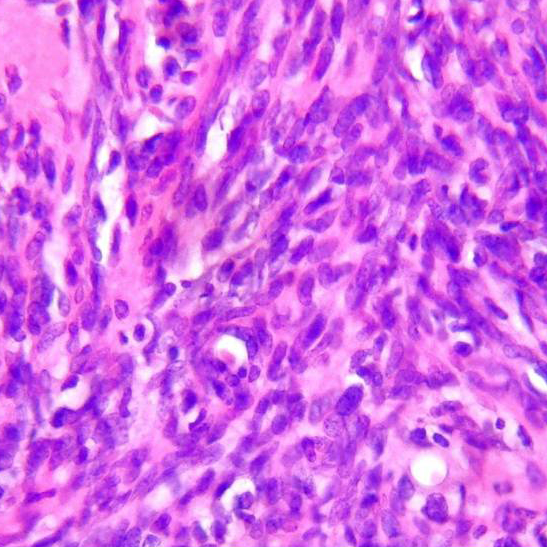
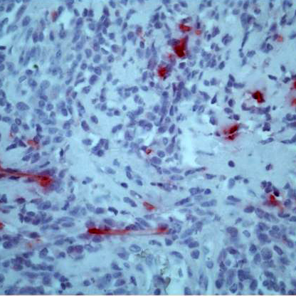
Se recibe pieza de nodulectomía. A la inspección macroscópica era un nódulo sólido bien circunscripto, blanquecino con áreas quísticas y hemorrágicas.










